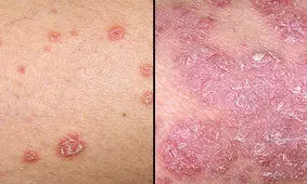
درمان پزشکی عارضه آرتریت پسوریازیس (PsA) به منظور کنترل علائم و محافظت از مفاصل در برابر بیماری ضروری است.
نور خورشید نقش محوری در حیات روی زمین دارد و در درمان برخی بیماریهای التهابی از قبیل پسوریازیس عامل کلیدی به حساب میآ…